In the majority of instances, a notable association can be observed between the response of patients to chemotherapy and patient-derived xenograft (PDX) models. The range of offerings provided by Alfa Cytology encompasses various xenografts derived from breast cancer patients, with a continuous expansion of options. Our models have been established through international collaborations with hospitals and universities, encompassing all major subtypes of breast cancer.
PDX models generated from fresh tumor specimens recapitulate the diversity of breast cancer and reflect the histopathology, tumor behavior, and metastatic characteristics of the original tumor. Therefore, breast cancer PDX models are valuable for studying tumor clonal evolution and evaluating novel therapies and drug resistance.
Fig.1 Breast PDX transplantation workflow. (Souto EP, et al., 2022)
| Application | Description |
|---|---|
| PDX Models for Drug Development |
|
| PDX Models for Precision Medicine |
|
| PDX Models for Co-Clinical Trials |
|
Alfa Cytology provides PDX models for four types of breast cancer: luminal A, luminal B, human epidermal growth factor 2 (HER2) positive, and triple negative. Discover our latest range of breast cancer PDX models, which feature pretreated and/or metastatic breast tumors demonstrating resistance to therapy. Additionally, we offer models with clinically relevant mutations in the BRCA1 and ESR1 genes.
Luminal A Subtypes
To generate luminal-type PDX models, estrogen pellets were injected into immunodeficient mice prior to tumor transplantation. The resulting xenografts exhibited comparable estrogen receptor (ER) expression levels to the original patient tumors.
Luminal B Subtypes
PDX models of Luminal B subtypes aim to replicate the characteristics and behavior of Luminal B breast cancer tumors, enabling researchers to study and explore targeted therapies, treatment approaches, and the underlying biology associated with this particular subtype.
HER2 Positive Subtype
PDX models of HER2 positive subtypes are created by transplanting patient tumor samples with HER2 positive characteristics into immunodeficient mice. These models enable researchers to investigate the biology, treatment responses, and development of targeted therapies for HER2 positive breast cancer.
PDX models of triple negative breast cancer are created by transplanting patient tumor samples with triple negative characteristics into immunodeficient mice. These models allow researchers to investigate the biology, treatment responses, and potential therapeutic strategies for triple negative breast cancer.





This model serves as a clinically relevant and patient-mirroring platform for evaluating therapeutic efficacy, drug resistance mechanisms, and personalized treatment strategies in breast cancer. It is particularly valuable for studying tumor heterogeneity and biomarker discovery across various molecular subtypes.
The model was established by implanting freshly resected human breast tumor tissues or fragments subcutaneously or orthotopically into severely immunodeficient mice (e.g., C-NKG). Estrogen pellets may be supplemented for hormone receptor-positive models to support tumor growth.
Fig. 2 Flowchart of breast cancer patient-derived xenograft (PDX) model construction. (Source: Alfa Cytology)
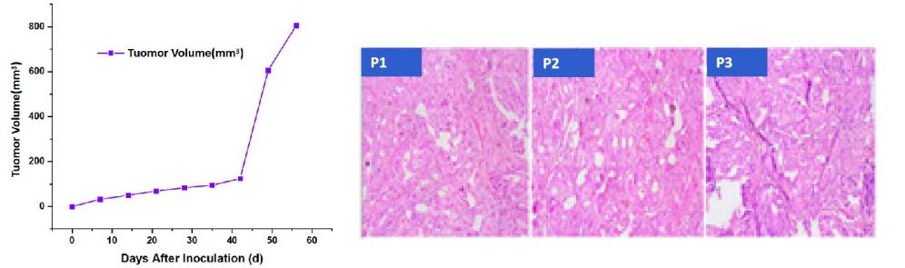
Fig. 3 Evaluation of patient-derived xenograft (PDX) models of breast cancer. (Source: Alfa Cytology)
Alfa Cytology offers PDX model construction services for breast cancer to provide high quality for your research in breast cancer. Please contact us to discuss your project requirements and learn how our PDX modeling services for breast cancer can advance your research goals.
Reference