Mucinous breast carcinoma, a rare and unique subtype of breast cancer, has long been a focus of intense research. At Alfa Cytology, our team of experienced biologists work with you to develop therapeutics for mucinous breast carcinoma.
Accounting for approximately 2% of all breast cancer cases, mucinous carcinoma is characterized by the presence of abundant extracellular mucin production, which sets it apart from the more common infiltrating ductal carcinoma. At the molecular level, mucinous breast carcinoma are predominantly of the luminal A intrinsic subtype, exhibiting low levels of genetic instability and rare recurrent amplifications. This unique genomic landscape offers both challenges and opportunities in the pursuit of more effective therapeutic strategies.
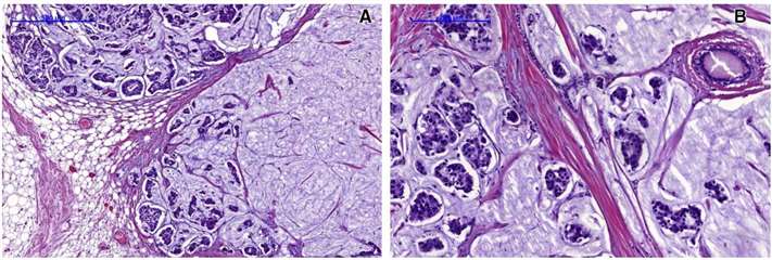
Fig.1 Histopathological image of pure mucinous breast cancer (PMBC) (grade 2, H&E)-characteristic cancer cells "nests" foating in abundant extracellular mucus. (Budzik M.P., et al. 2021)
Researchers are exploring a variety of combination approaches, including standard chemotherapies as well as targeted agents like RANKL inhibitors, to improve outcomes for patients with mucinous breast carcinoma. The use of nanoparticle-based delivery of paclitaxel is also being investigated.
| Category | Therapeutics | Phase | NCT |
| Combination Therapies | Paclitaxel, Cisplatin | NCT03201861 | |
| Paclitaxel + Cisplatin + Gonadotropin-releasing hormone agonist | NCT02221999 | ||
| Neoadjuvant Chemotherapy | RANKL Inhibitor | NCT02682693 | |
| Nanoparticle-based Therapy | nab-Paclitaxel | NCT01583426 |
Mucinous breast carcinoma is a relatively rare disease but malignant. Multiple factors influence prognosis and therapy options. Therefore, Alfa Cytology is working on providing one-stop solutions for mucinous breast carcinoma, including but not limited to the following.

Therapy Development
The MUC1-expressing transgenic mouse model serves as a critical preclinical tool for studying mucinous breast carcinoma (MBC), a rare subtype characterized by abundant extracellular mucin production and high MUC1 expression. This human MUC1 transgenic model recapitulates key pathological features of human MBC, including MUC1-driven immune tolerance and tumor progression, providing a physiologically relevant system for evaluating MUC1-directed therapies.
The mucinous breast carcinoma model was established by crossing MUC1.Tg mice with mammary-specific oncogene drivers (e.g., PyV-mT). Mice developed spontaneous MUC1-positive mammary tumors with mucinous features. Prior to immunotherapy, mice received a single dose of cyclophosphamide (CPA) to inhibit regulatory T cells and enhance antigen-specific immune responses transiently.
This case systematically evaluated the antitumor efficacy and immune response of MUC1-targeted immunotherapy using the MUC1.Tg model, including monotherapy and combination therapy with standard hormonal agents, namely the aromatase inhibitor letrozole (LET) and the selective estrogen receptor modulator tamoxifen (TAM).
Fig. 2 The effect of MUC1 Vaccine combined with hormone therapy on tumor suppressor activity. Data are presented as the mean ± SD (n = 6). (Source: Alfa Cytology)
At Alfa Cytology, our comprehensive suite of oncology services and deep disease-specific expertise provide a powerful platform for accelerating the development of novel mucinous breast carcinoma therapies. From molecular profiling and biomarker discovery to the establishment of robust preclinical models and the systematic evaluation of therapeutic candidates, our team of cancer experts is well-equipped to support researchers and clinicians at every stage of the drug development process. If you are interested in our service, please contact us.
Reference