Breast cancer histopathological analysis examines tissue samples to identify cancerous changes at the microscopic level. This analysis is essential for diagnosing breast cancer, determining its type and grade, and guiding treatment decisions. Alfa Cytology offers a comprehensive suite of breast cancer histopathological analysis services.
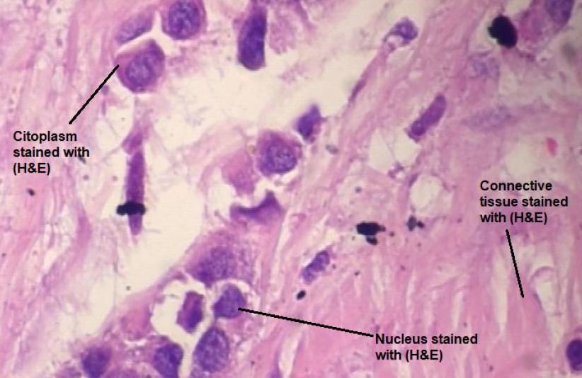
Breast cancer (BC) is a heterogeneous disease, divided into five clinicopathological subtypes based on four markers: estrogen receptor (ER), progesterone receptor (PR), human epidermal growth factor receptor-2 (HER2 and Ki-67). Different subtypes have different biological behaviors, clinical risk factors, natural history, response to individualized treatment, and prognosis. Histopathology is to cut the diseased tissue into slices about a few microns thick, stain them with different methods and then use a microscope to observe the subtle lesions, thereby improving the resolution of naked eye observation thousands of times and deepening the understanding of diseases and lesions. It is one of the most commonly used means to observe and study diseases.
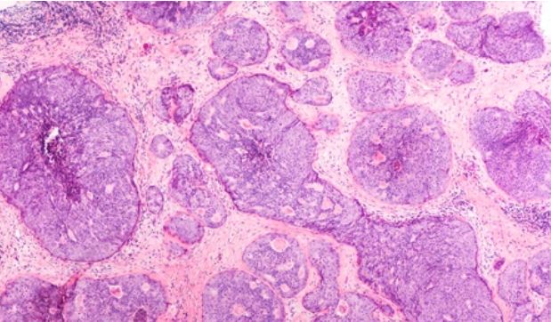
Fig.1 H&E stained digital histology image sample of lobular carcinoma. (Peregrina-Barreto H, et al., 2022)
Histopathology is the clinical application of histological methods to examine BC cells and tissues for diagnostic or prognostic analysis of various conditions including cancer and multi-organ disease. Services we can provide include:
| Histopathology Platform Technology Services | |||
| Paraffin sections | Frozen sections | Tissue microarray | HE staining |
| Oil red dyeing | Safranin O staining | Masson staining | ATPase staining |
| Giemsa stain | VanGieson beam color | Spandex dyeing | Mesh fiber dyeing |
| Periodic acid-Schiff | Crystal violet staining | Congo red staining | Alcian blue staining |
| Sudan dyeing | Warthin-starry dyeing | Toluidine blue staining | TTC staining |

Diagnostic cytology, histology, and immunohistochemistry rely primarily on analyzing samples by binding dyes, stains, or immunoprobes to key cellular and/or histochemical structures to reveal cellular architecture or pathological conditions. Therefore, the stability and permeability of tissue structure are critical to the consistency and reliability of staining.
Alfa Cytology considers the type and time of tissue fixation, thickness, temperature and target accessibility to ensure the staining effect. Our use of proven analytical methods to preserve and process samples also helps improve tissue analysis using staining, immunoprobe labeling or molecular techniques.
Alfa Cytology is a world-leading preclinical CRO company dedicated to assisting scientists around the world in BC research. We can provide you with BC histopathological analysis services and help in the treatment and diagnosis of BC. If you have any questions about BC research, please contact us and our experts will get back to you as soon as possible.
Reference