
Papillary breast carcinoma (PBC) is a rare and distinct subtype of breast cancer that accounts for approximately 1-2% of all breast malignancies. Despite its relatively low incidence, PBC is a complex and intriguing disease that has garnered significant attention within the oncology community. As a leading preclinical CRO, Alfa Cytology has dedicated substantial resources to advancing the understanding and treatment of this unique breast cancer subtype.
Papillary breast carcinoma (PBC) is a rare and complex subtype of breast cancer that presents unique challenges in both diagnosis and treatment. Unlike more common breast cancer subtypes, PBC is characterized by a distinctive papillary growth pattern, where tumor cells proliferate along delicate fibrovascular cores, forming finger-like projections. This architectural feature, along with the often well-differentiated and low-grade nature of PBC, can make it easily mistaken for a benign lesion, leading to delayed diagnosis and suboptimal management.
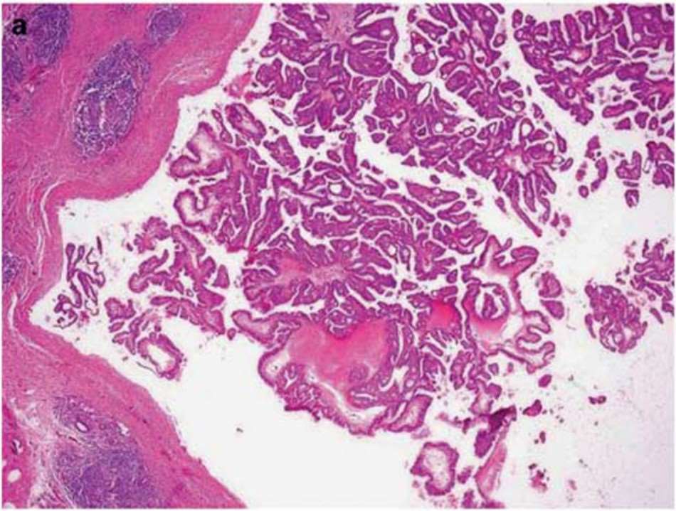
Fig.1 Examples of papillary carcinoma of the breast displaying papillary architecture features. (Hameed O., et al. 2009)
The rarity and unique features of PBC have also resulted in a relative paucity of therapeutic options, as this disease subtype has often been underrepresented in the development of novel breast cancer treatments. Conventional therapies, such as surgery, radiation, and standard chemotherapies, have shown variable efficacy, highlighting the need for more targeted and tailored approaches.
Comprehensive genomic analyses have revealed that PBC harbors a distinct set of genetic alterations.
Attractive targets for the development of personalized therapeutic:
Papillary breast carcinoma is a relatively rare disease but malignant. Multiple factors influence prognosis and therapy options. Therefore, Alfa Cytology is working on providing one-stop solutions for papillary breast carcinoma, including but not limited to the following.
Therapy Development
The MCF-7 xenograft model is a critical preclinical tool for studying estrogen receptor-positive (ER+) breast cancer and evaluating endocrine-disrupting chemicals. This model recapitulates key features of hormone-responsive breast cancer and is extensively used to assess the estrogenic activity of environmental chemicals and therapeutic agents.
The MCF-7 xenograft model was established by subcutaneously injecting 1 × 106 MCF-7 cells suspended in PBS into the flanks of 6-week-old female BALB/c nude mice. Tumor growth was monitored until volumes reached 100-300 mm3, at which point mice were randomized into treatment groups to initiate the efficacy study.
This case utilized the established MCF-7 xenograft model to systematically evaluate the estrogenic activity and tumor-promoting effects of photoinitiator A and its interaction with the estrogen receptor antagonist tamoxifen (TAM).
Fig. 2 Photoinitiator A or tamoxifen treatments promoted breast tumor growth in an in vivo murine model. Results are presented as the mean ± SD (n = 5). **p < 0.01 significantly different from the control (vehicle, DMSO-treated) group. (Source: Alfa Cytology)
At Alfa Cytology, our comprehensive suite of oncology services and deep disease-specific expertise provide a powerful platform for accelerating the development of novel papillary breast carcinoma therapies. From molecular profiling and biomarker discovery to the establishment of robust preclinical models and the systematic evaluation of therapeutic candidates, our team of cancer experts is well-equipped to support researchers and clinicians at every stage of the drug development process. If you are interested in our service, please contact us.
Reference